根管治療について
根管治療は、むし歯や細菌感染などにより歯の神経まで影響が及んだ場合に行われる、歯を残すための治療です。
ご自身の歯で噛めることは、食事のしやすさや感覚の面でも大きな意味があります。
抜歯という選択はいつでもできますが、まずは保存できるかどうかを確認し、そのうえで治療方法を考えていくことが大切です。
気になる症状はありませんか?
- 噛むと歯に違和感や痛みがある
- 歯ぐきから繰り返し膿が出る
- 神経を取った歯がまた痛くなってきた
- 抜歯が必要と言われたが、他の選択肢があるか知りたい
根管治療の必要性
歯の内部に感染がある場合、見た目では分かりにくいまま症状が進行することがあります。その結果、歯根の先に炎症が及び、次のような影響が生じることがあります。
- 歯根周囲の骨が吸収し、炎症が広がるおそれ
- 痛みや腫れが続き、症状が長引く可能性
- 噛みにくさによる、他の歯への負担
- 炎症や感染による口臭の発生
根管治療は、歯の内部にある感染源を取り除くことを目的とした治療です。治癒までに時間を要するケースもありますが、感染が取り除かれることで体の治癒力が働き、症状が落ち着いていくことが期待されます。
症状の進行を防ぐためにも、適切な時期に根管治療を行うことが重要です。
根管治療の方針
正確な診断を重視した根管治療
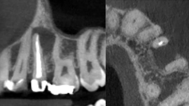
視診・触診やレントゲン撮影、歯髄診断(歯の神経の状態を確認する検査)などを行い、歯や歯ぐきの状態を確認します。必要に応じてCT撮影を行い、根の形や炎症の広がりを三次元的に把握することで、原因を見極めた診断につなげています。
マイクロスコープを用いた
精密な根管治療
マイクロスコープを使用し、拡大視野で根管内を確認しながら処置を行います。歯の解剖学的形態を踏まえ、汚染の取り残しや見落としをできるだけ少なくすることを心がけています。
根管治療の内容共有
根管治療は難易度が高く、処置に時間を要する場合もあります。治療の進行状況や注意点についてご説明し、治療内容を共有しながら理解を深めていただけるよう努めています。
また、歯は神経を取ることで脆くなり、再治療を重ねるほど破折のリスクが高まります。そのため、最初の根管治療を丁寧に行うことが重要と考え、一歯一歯の処置を大切にしています。
根管治療のこだわり
清潔な治療環境の確保
ラバーダム防湿
根管治療する歯だけをゴムのシートで隔離し、唾液や細菌が入り込まないようにする方法です。根管内を清潔に保ち、再感染のリスク軽減にもつながります。
精度を高めるための機器・器具
ニッケルチタンファイル
柔軟性のある素材でできた器具で、曲がりのある根管にも対応しやすい特性があります。
根管治療用超音波装置
細かい振動を利用して、根管内の汚れや感染物質を除去・洗浄する装置です。肉眼では確認しにくい部分の清掃精度が高まります。
根管長測定器
根管の長さを把握するための測定器です。処置の過不足を防ぎ、適切な位置まで根管治療を行うために使用します。
根管治療に用いる材料
MTAセメント
高い封鎖性と生体親和性を有し、従来の材料では対応が難しい症例にも用いられる根管治療用材料です。根管の状態を見極めたうえで使用し、根尖部まで確実な封鎖を図ります。
ファイバーコア
被せ物を支える土台として使用する材料です。歯にかかる力を分散しやすく、残っている歯質への負担を抑えやすい材料です。
根管治療の流れ
STEP 01.
診査・診断
レントゲン撮影やCT撮影を行い、歯の状態や感染の広がりを確認します。

STEP 02.
治療環境の確保
処置中の感染を防ぐため、ラバーダム防湿を行います。また、必要に応じて電動麻酔器を使用した麻酔を行い、痛みに配慮しながら根管治療を進めます。

STEP 03.
根管内の清掃・消毒
根管の状態を確認しながら、内部の汚れや感染物質を取り除きます。症状や感染の程度によっては、複数回に分けて進めることがあります。

STEP 04.
根管充填
根管内の状態が整ったことを確認したうえで、内部を充填し、再感染を防ぐための処置を行います。

STEP 05.
土台・被せ物による補綴治療
根管治療後は、歯を補強するための土台を作り、被せ物による補綴(ほてつ)治療を行います。使用する素材は、歯の状態や噛み合わせなどを考慮して選択します。

根管治療の外科的処置
根管治療だけでは症状の改善が難しい場合、次のような外科的処置が選択されることがあります。
歯根端切除術
(しこんたんせつじょじゅつ)
歯ぐき側から歯根の先端にアプローチし、感染や炎症が残っている部分を直接取り除く方法です。根管の先を封鎖することで、症状の再発リスクを抑えることを目的としています。
意図的再植術
(いとてきさいしょくじゅつ)
一度歯を慎重に抜歯し、歯根の先端や根面を直接確認して処置を行ったうえで、元の位置に戻す方法です。歯を口腔外で処置することで、細かな部分まで対応しやすくなります。
クラウンレングスニング
(歯冠長延長術)
むし歯が歯ぐきの下(歯肉縁下)まで及んでいる場合でも、歯ぐきや骨の位置を調整することで、感染コントロールや精密な根管治療を行いやすい状態を整える方法です。
また、被せ物が外れにくい環境をつくることや、歯ぐきのラインを整えることを目的として行う場合もあります。歯の状態によっては、根管治療に先立って行うことがあります。
歯の保存が難しいと
判断される場合
外科的処置を行っても歯の保存が難しいと判断される場合には、将来の噛み合わせや口腔内全体のバランスを考慮し、抜歯を含めた治療方法(インプラントなど)をご提案することがあります。
根管治療のリスク
-
根管治療後に、痛みや腫れが出ることがあります。
-
歯が脆くなり、割れやすくなる場合があります。
-
細菌が再び入り込み、再感染するリスクがあります。
-
状態によっては、再根管治療が必要になることがあります。
根管治療のよくある質問
-
根管治療は痛みがありますか?
根管治療中は麻酔を使用するため、強い痛みを感じにくいとされています。
ただし、処置後や神経に近い部分を治療した場合には、痛みや違和感が出ることがあります。必要に応じてお薬を処方することもありますので、気になる症状があればご相談ください。
-
根管治療の時間や通院回数はどれくらいですか?
1回あたりの治療時間は30〜60分程度が目安です。通院回数は、状態が比較的落ち着いている場合で2〜3回程度、感染が強い場合や再治療では5〜6回程度かかることがあります。なお、治療回数や期間は症例によって前後します。
-
根管治療した歯がまた痛くなった場合はどうなりますか?
根管治療後に再び痛みが出た場合には、歯の状態を確認したうえで、再治療や外科的処置など、考えられる治療の選択肢をご説明します。
なお、再治療は難易度が高くなる場合や、歯に負担がかかることもあるため、治療の可否を含めて慎重に判断します。 -
根管治療後の歯を長持ちさせる方法はありますか?
根管治療後の歯を長持ちさせるためには、定期的なメンテナンスが大切です。当院では、以下の点を意識してケアを行っています。
- 被せ物周囲を傷つけにくいパウダークリーニング
- 歯間部の清掃状態のチェック
- 歯ぎしり・くいしばりの有無の確認と対策
- 噛み合わせの確認と調整
- 年に1回程度のレントゲン撮影による経過観察
-
根管治療の保険と自費の違いは何ですか?
保険診療と自費診療では、使用できる材料や治療環境、処置にかけられる時間などに違いがあります。当院では、歯の状態やご希望を伺ったうえで、それぞれの特徴をご説明し、治療方法をご相談しています。
根管治療のご相談
根管治療は、できるだけ歯を残すことを目的とした治療の一つです。
当院では、精密な診査・診断を行ったうえで、歯の状況やご希望を踏まえた治療方法をご提案しています。
治療内容について不安な点やご質問があれば、どうぞお気軽にご相談ください。
根管治療の症例
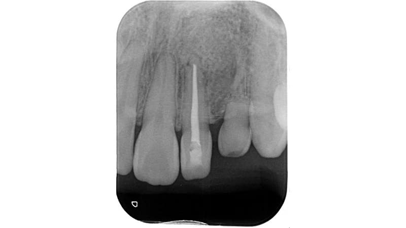
症例①:他院で根管治療していたが膿が止まらないと言われた
| 治療科目 | 根管治療 |
|---|---|
| 主訴 | 他院で根管治療していたが膿が止まらないと言われた。 |
| 治療期間 | 1ヶ月 |
| 治療費 | – |
| 治療内容 | 前歯、根管内をマイクロスコープで確認し汚染部位を除去し根充。 |
| 治療のリスク | 噛み合わせが強い場合歯根破折の可能性あります。まれに再発する可能性があります。その場合外科的歯内治療をするか、抜歯を検討します |
症例②:右上の奥歯がたまにうずく
| 治療科目 | 根管治療、セラミッククラウン |
|---|---|
| 主訴 | 右上の奥歯がたまにうずく |
| 治療期間 | 3ヶ月 |
| 治療費 | セラミッククラウン 121,000円 |
| 治療内容 | 奥歯、銀歯を除去しマイクロスコープを使い根管内洗浄、根管充填した。仮歯で1ヶ月経過観察後症状消失したため最終補綴(ジルコニアクラウン)装着。 |
| 治療のリスク | 噛み合わせが強い場合歯根破折の可能性あります。 まれに再発する可能性があります。 その場合外科的歯内治療をするか、抜歯を検討します。 |
症例③:数年前に治療した歯の横が腫れてきた
| 治療科目 | 歯根端切除術 |
|---|---|
| 主訴 | 数年前に治療した歯の横が腫れてきた |
| 治療期間 | 3ヶ月 |
| 治療費 | 約10,000円(保険適応) |
| 治療内容 | 歯茎を横から切開し原因である病巣を摘出し、縫合します。 |
| 治療のリスク | 歯根が短くなるため破折のリスクがあります。またまれに再発することもあります。 |
