インプラント治療について
インプラントとは、歯を失ってしまった部分に人工の歯根を埋め込み、その上に人工の歯を装着することで、天然の歯に近い機能と見た目を回復する治療法です。
隣接する歯を削る必要がなく、失った部分のみを補うことができるのが特徴です。
しかし当院では、簡単にインプラントをおすすめすることはありません。
インプラント治療の目的は、しっかり噛めるようになることです。
そのため、お口の中全体の状態や噛み合わせ、歯周病の状況などを丁寧に評価し、必要な治療を優先して口腔内環境を整えたうえで、インプラント治療が本当に適しているかを慎重に見極めています。
気になる症状はありませんか?
- 歯を失ったまま、しばらくそのままにしている
- 入れ歯が合わず、噛みにくさを感じている
- 以前より噛む力が弱くなった気がする
インプラント治療の方針
丁寧なカウンセリングと全身状態の確認
インプラント治療を始める前に、治療内容やメリットだけでなく、手術に伴うリスクや起こり得る偶発症についても、丁寧にご説明します。
また、全身疾患の有無や、これまでの歯科治療で感じた不安・トラブルについても事前に確認し、ストレスの少ない治療を心がけています。
全顎的な視点に基づく治療計画
インプラント治療の目的は、しっかり噛めるようになることです。そのため、インプラントを入れる部位だけでなく、噛み合う反対側の歯の状態や、お口の中全体のバランスを確認します。
必要に応じて、インプラント治療に先立ち、噛み合わせや歯周病のコントロールを優先して行うこともあります。
CTによる精密検査と
治療シミュレーション
当院では、インプラント治療を行うすべての方にCT撮影を行い、顎の骨の量や神経・血管の位置を複数の歯科医師で確認します。事前に詳細な情報を把握することで、より安全性の高い治療につなげています。
検査結果をもとに、コンピューター上で治療のシミュレーションを行い、歯科技工士と連携しながらインプラントの治療計画を立案します。その計画に基づき、手術をサポートするインプラントガイドを作成します。
サージカルガイドを用いた正確な処置
当院では、サージカルガイドを使用した正確なインプラント治療を基本としています。
サージカルガイドは、インプラントを計画通りの位置・角度・深さに導くための装置で、治療の正確性を高めるだけでなく、手術時間の短縮や患者さんの身体的・精神的負担の軽減にもつながります。
たとえば、正確な地図を持たずに暗い場所を手探りで進む場合と、事前に進む道が分かっている状態で歩く場合とでは、安心感や疲労感は大きく異なります。
サージカルガイドは、この「正確な地図」の役割を果たし、より安全で負担の少ないインプラント治療につながります。
インプラント治療の
こだわり
-
インプラント治療前の口腔内環境を整える取り組み
インプラント治療では、手術前の口腔内環境も重要とされています。当院では、治療前に口腔内全体の環境を確認し、手術直前にはエアフロー(パウダークリーニング)を行っています。
-
骨の状態に応じたインプラント治療への対応
骨の量や状態によっては、そのままインプラント治療を行うことが難しい場合があります。必要に応じて骨造成(骨を増やす処置)を行うことで、インプラントが安定しやすい状態を目指します。
-
長く使うためのインプラント設計
インプラント治療では、治療後の使いやすさを考慮し、被せ物の形に合わせてインプラントの位置や向きを計画します。
特に奥歯では、歯間ブラシなどが無理なく使えるよう、日常のケアを踏まえた設計を行います。また、歯ぐきの状態や部位に応じてインプラントの種類を使い分け、清掃のしやすさに配慮しています。
インプラント治療の流れ
STEP 01.
カウンセリング
お悩みやご希望を伺い、インプラント治療が適しているかを診断します。

STEP 02.
精密検査
レントゲンやCT撮影などを行い、骨の状態や周囲の環境を詳しく確認します。

STEP 03.
治療計画の説明・同意
検査結果をもとに治療計画をご説明し、内容にご納得いただいたうえでインプラント治療を進めます。

STEP 04.
一次手術
顎の骨にインプラントを埋入し、骨と結合するまで待機期間を設けます。症例によっては、フラップレス手術(歯ぐきを大きく切開せずに行う方法)を行うこともあります。

STEP 05.
二次手術
インプラントの頭部を出す処置を行います。 状態によっては、インプラント周りを清掃しやすくするために、歯ぐきの形を整えることがあります。

STEP 06.
仮歯の装着
仮歯を装着し、噛み合わせや清掃性を確認しながら、必要に応じて微調整を行います。

STEP 07.
最終的な被せ物の装着
仮歯で確認した内容をもとに、最終的な被せ物の型取りを行います。歯科技工士と連携しながら製作を進め、完成後に噛み合わせや見た目を確認して治療終了となります。

インプラント治療後のメンテナンス
インプラントを長く安定して使用していただくためには、治療後の定期的なメンテナンスが重要です。
治療直後は月1回程度のチェックを行い、状態が安定してきた後は4ヶ月に1回を目安に検診とクリーニングを行います。
メンテナンスでは、インプラント周囲組織の精密検査およびエアフロー等による専門的クリーニングを実施し、良好な口腔内環境の維持をサポートします。
定期的なチェックを継続することで、インプラント周囲炎などのトラブル予防につながります。
インプラント治療のリスク
-
インプラント治療後に痛みや腫れが出ることがあります。
-
骨の状態によっては、インプラントが安定しにくいことがあります。
-
経過によっては、再度インプラント治療を行う場合があります。
インプラント治療の
よくある質問
-
インプラント治療の期間はどれくらいですか?
一般的な症例では、治療期間は約3〜4ヶ月が目安です。
骨造成が必要な場合には、治療完了までにおよそ1年前後かかることがあります。
治療期間は、口腔内の状態や治療内容によって異なります。 -
インプラント治療の時間はどれくらいですか?
インプラントの埋入手術は、1本あたり30〜60分程度が目安です。本数や治療内容によって、所要時間が前後する場合があります。
-
インプラント治療のメリットは何ですか?
インプラント治療には、以下のようなメリットがあります。
- 周囲の健康な歯を削らずに治療できる
- 隣の歯への負担を抑えやすい
- 自分の歯に近い感覚で噛みやすい
- 見た目が周囲の歯となじみやすい
ただし、インプラント治療にも向き・不向きがあり、口腔内の状態によって適した治療方法は異なります。
-
インプラント治療の注意点はありますか?
インプラント治療中は、治療部位を指や舌で触らず、埋入部位での入れ歯の使用は控えてください。
治療後はナイトガード(マウスピース)の使用を検討し、喫煙は控えることが推奨されています。 -
インプラント治療に保証制度はありますか?
当院では、10年間の保証制度を設けています。
保証の適用には、年3回の定期チェックとインプラントクリーニングを受けていただくことが条件となります。
インプラント治療のご相談
当院では、簡単にインプラント治療をおすすめすることはしていません。インプラントは、あくまで治療全体の中の一つの選択肢として考えています。
歯を失う背景には、噛み合わせや生活習慣が関係していることもあります。インプラントを入れて終わりとせず、これからの口腔内の健康を保つために必要なことを一緒に考えていきます。
現在のお悩みや不安な点があれば、お気軽にご相談ください。
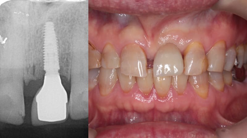
インプラント治療の症例
症例①:前歯が取れた
| 治療科目 | インプラント |
|---|---|
| 主訴 | 前歯が取れた |
| 治療期間 | 約半年 |
| 治療費 | 495,000円 |
| 治療内容 | 歯根破折していたため抜歯し3ヶ月待つ。インプラントガイドを使いフィクスチャー埋入。その後上部構造を装着した。 |
| 治療のリスク | インプラントが骨と結合しない場合撤去し、再度埋入が必要。噛み合わせに問題ある場合骨吸収を起こすためナイトガード装着をお願いすることがある。また定期的なメンテナンスで歯肉の炎症と咬合のチェックが必要。 |
症例②:右下の歯がたまに腫れる
| 治療科目 | インプラント |
|---|---|
| 主訴 | 右下の歯がたまに腫れる |
| 治療期間 | 7ヶ月 |
| 治療費 | 495,000円(インプラント費用¥440,000+インプラントガイド¥55,000) |
| 治療内容 | 抜歯後3ヶ月待ち、インプラントガイドを使いフィクスチャー埋入。その後上部構造を装着した。 |
| 治療のリスク | インプラントが骨と結合しない場合撤去し、再度埋入が必要。噛み合わせに問題ある場合骨吸収を起こすためナイトガード装着をお願いすることがある。また定期的なメンテナンスで歯肉の炎症と咬合のチェックが必要。 |
