歯周病治療について
歯周病は、歯ぐきや歯を支える骨に炎症が起こる病気で、進行すると歯を失う原因となります。また、糖尿病や心疾患など、全身の健康にも影響することがわかっています。
歯周病治療では、原因となる細菌を取り除き炎症をコントロールすることで、歯を保存し、しっかり噛める状態にすることを目的とします。
気になる症状はありませんか?
- 歯ぐきが腫れている、血が出る
- 歯ぐきが下がってきたように感じる
- 噛むと違和感や痛みが出ることがある
歯周病治療の方針
口腔内の状態を正確に把握するための検査
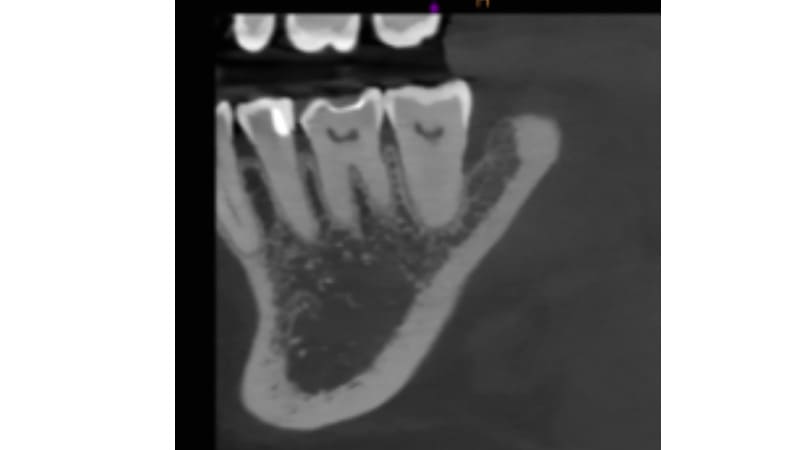
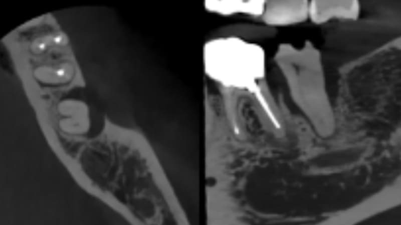
初診時にはパノラマレントゲン・デンタル(小さいレントゲン)・口腔内写真を撮影して初期状態を記録し、必要に応じてCT撮影を行うこともあります。その後は定期検診ごとに歯周ポケット(歯と歯ぐきの境目にある溝の深さ)の測定を行い、歯ぐきの状態を継続的に確認していきます。
また、年に1回のレントゲン撮影により、見た目ではわからない骨の状態や歯周病の進行状況も確認していきます。
一人ひとりに合わせた治療計画のご提案
できるだけ歯を残すことを大切にし、必要に応じて歯周外科治療も選択肢としてご提案します。一方で、歯周病治療を行っても十分な機能回復が見込めない歯や、噛む役割を果たせない歯については、抜歯を選択する場合もあります。
無理に歯を残すことで、全身へ悪影響を与えるケースもあるため、骨の状態や将来の治療計画を踏まえ、口腔内全体を見据えた判断を行っています。
口腔内全体を考えた歯周病治療
歯周病治療では、歯ぐきだけでなく、噛み合わせや歯並びを含めた口腔内全体のバランスを考えることが重要です。
歯の欠損や歯と歯のすき間がみられる場合には、矯正治療やインプラント治療なども視野に入れながら、治療を検討します。
歯周病治療のこだわり
-
歯に負担をかけにくい
メンテナンスプラークの定着を防ぐため、患者さまごとに適切なリコール間隔を設定しています。
定期検診では、歯や被せ物・詰め物、インプラントをできるだけ傷つけない方法でメンテナンスを行っています。 -
歯科衛生士担当制による
継続的な管理当院では、歯科衛生士担当制を採用しています。
同じ歯科衛生士が継続して確認することで、小さな変化に気づきやすく、一人ひとりの状態に合わせたケアの提案が行いやすくなります。 -
痛みに配慮した歯周病治療
治療時の負担をできるだけ抑えるため、治療内容や患者さまの状態に合わせて麻酔を使用しています。
歯周病治療の内容
歯周病の基本治療
歯周病の基本治療では、歯ぐきの炎症を抑え、口腔内環境を整えることを目的とした処置を行います。
検査結果をもとに段階的に治療を進めていきます。
スケーリング
歯ぐきの上や歯と歯ぐきの境目に付着した歯石を、専用の器具を用いて取り除く処置です。
歯石はご自身で取り除くことが難しいため、歯ぐきの炎症や歯周病の進行を防ぐ目的で行います。
SRP(スケーリング・
ルートプレーニング)
歯ぐきの奥深くに付着した歯石や細菌を取り除く処置です。
歯の根の表面を滑らかに整えることで、汚れが再び付着しにくい状態を目指します。
その他のクリーニング
必要に応じて、エアフロー(微細なパウダーを用いた清掃)や、ポリッシング(専用器具による仕上げ磨き)を併用し、歯や歯ぐき周辺に付着した汚れや着色を除去します。
歯周病の外科治療
歯周病の進行状況によっては、歯ぐきの奥の状態を確認するために、外科的な処置が必要になることがあります。
歯周外科治療では、できるだけ小さなメスや細いナイロン糸を使用するなど、治療後の回復に配慮した処置を行っています。
フラップ手術(FOP)
歯ぐきを開き、歯の根の状態を確認しながら清掃を行う方法です。歯周ポケットが深い場合など、通常のクリーニングでは対応が難しいケースに検討されることがあります。
歯周組織再生療法
歯周病によって失われた歯周組織の回復を目的とした治療です。状態に応じて、「リグロス」や「エムドゲイン」などの再生を促す薬剤を選択します。
歯肉移植術
歯ぐきが下がっている部分に対して、歯ぐきの厚みや量を補う処置です。見た目の改善に加え、清掃性の向上や歯の保護を目的として行われることがあります。
ルートセパレーション
複数の根を持つ歯を分割し、歯の一部を残して使用するための処置です。歯の状態や噛み合わせを考慮したうえで、適応を判断します。
歯周病治療のリスク
-
治療内容によっては、痛みや違和感が出ることがあります。
-
歯の揺れが一時的に強くなることがあります。
-
噛み合わせの感覚に変化が出ることがあります。
-
治療期間が想定より長くなる場合があります。
歯周病治療のよくある質問
-
歯周病治療は痛みがありますか?
治療内容や口腔内の状態によって感じ方には個人差がありますが、一時的に痛みや違和感が出ることがあります。
治療時には必要に応じて麻酔を使用しますが、気になる症状があればその都度ご相談ください。 -
歯周病治療の期間や通院回数の目安はどれくらいですか?
治療内容や口腔内の状態によって異なりますが、通院期間はおおよそ1〜2年程度を目安としています。
通院頻度は、治療の段階に応じて週1回または2週に1回程度となることが多いです。 -
歯周病の再発を防ぐために、どのような予防ができますか?
ご自宅での清掃状況を確認し、歯間ブラシなどの補助清掃用具を含め、患者さま一人ひとりに合ったセルフケア方法をご提案しています。
-
歯周病治療後の定期検診の頻度はどれくらいですか?
歯周病治療後は、1ヶ月ごとの定期検診から開始し、歯ぐきの状態やプラークコントロールを確認しながら、徐々に通院間隔を調整していきます。
経過が安定している場合は、3〜6ヶ月程度を目安に、状態に応じた頻度で定期検診を行います。 -
高齢でも歯周病治療は受けられますか?
年齢に関わらず歯周病治療は可能ですが、全身の健康状態を踏まえた対応が必要です。
当院では、麻酔前の血圧測定や治療時間の調整を行い、体への負担に配慮しながら歯周病治療を行っています。
歯周病治療のご相談
歯周病は、症状が出てからだけでなく、違和感がない時期からの定期的な検診が重要です。
当院では、日本歯周病学会認定医である院長と副院長が生活スタイルや治療に対する不安にも配慮し、一人ひとりに無理のない治療をご提案しています。痛みの感じ方や治療への考え方は人それぞれ異なるため、安心して通っていただけるよう努めています。
気になることがあれば、小さなことでも構いません。まずはお気軽にご相談ください。
歯周病治療の症例
症例①:右下の奥歯が腫れる
| 治療科目 | 歯周組織再生療法(リグロス使用) |
|---|---|
| 主訴 | 右下の奥歯が腫れる |
| 治療期間 | 1年 |
| 治療費 | 2〜3万円程度 |
| 治療内容 | 浸潤麻酔後、歯肉を剥離し歯石除去する。リグロスを塗布し緊密に縫合。3ヶ月後に再評価。 |
| 治療のリスク | リグロスの特性上かなり腫れることがあります。 まれに脂肪腫をつくることがあります。 角化歯肉の状態により再度感染を起こす可能性があり、遊離歯肉移植の併用が必要なこともあります。 清掃方法によって再感染する可能性があり、定期的な通院でチェックしていく必要があります。 |
症例②:左上がずっと違和感がある
| 治療科目 | 歯周組織再生療法(エムドゲイン使用) |
|---|---|
| 主訴 | 左上がずっと違和感がある |
| 治療期間 | 半年 |
| 治療費 | 220,000円 |
| 治療内容 | エムドゲインとバイオスを使い再生療法を行った。 |
| 治療のリスク | 角化歯肉の状態により再度感染を起こす可能性があり、遊離歯肉移植の併用が必要なこともあります。 清掃方法によって再感染する可能性があり、定期的な通院でチェックしていく必要があります。 |
症例③:右下の奥歯に違和感がある
| 治療科目 | 歯周組織再生療法(エムドゲイン使用) |
|---|---|
| 主訴 | 右下の奥歯に違和感がある |
| 治療期間 | 1年 |
| 治療費 | 150,000円 |
| 治療内容 | 浸潤麻酔後、歯肉を剥離し歯石除去する。エムドゲインを塗布し緊密に縫合。3ヶ月後に再評価。 |
| 治療のリスク | 角化歯肉の状態により再度感染を起こす可能性があり、遊離歯肉移植の併用が必要なこともあります。清掃方法によって再感染する可能性があり、定期的な通院でチェックしていく必要があります。 |
症例④:奥歯が違和感がある
| 治療科目 | 歯周組織再生療法 |
|---|---|
| 主訴 | 奥歯が違和感がある |
| 治療期間 | 1年 |
| 治療費 | 220,000円 |
| 治療内容 | 抜髄後、エムドゲインとバイオスを使い再生療法を行った。 |
| 治療のリスク | 角化歯肉の状態により再度感染を起こす可能性があり、遊離歯肉移植の併用が必要なこともあります。清掃方法によって再感染する可能性があり、定期的な通院でチェックしていく必要があります。 |
